Trám răng thưa, đặc biệt là các trường hợp thưa răng cửa bằng phương pháp trám răng thẩm mỹ laser – composite là một trong 3 phương pháp khắc phục răng thưa đạt hiệu quả rất cao tại Peace Dentistry.
Bác sĩ Nguyễn Thị Mỹ Hạnh (tu nghiệp thẩm mỹ nha Malaysia) sẽ giúp chúng ra hiểu chi tiết về phương pháp này qua các nội dung: cách thực hiện, độ bền, tính thẩm mỹ, chi phí, hình ảnh trước và sau khi trám.
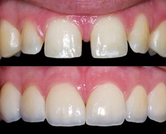
Cận cảnh một ca trám răng thưa bằng phương pháp trám laser
Giải thích:
– Đầu tiên, bác sĩ sẽ đo màu răng thật để pha chất liệu trám có màu đồng nhất với răng thật
– Chất liệu trám là Composite chuyên dùng cho nha khoa: hoàn toàn lành tính với cơ thể, khả năng chịu lực cao, không giãn nở vì nhiệt, không dẫn nhiệt, kháng mòn và kháng xuống màu.
– Chất liệu trám được đưa lên khe thưa (khe thưa giữa 2 răng) và tạo hình 2 răng này, kết hợp chiếu laser để đông cứng và cố định vật liệu trám vào răng thật.
– Laser này hoàn toàn không gây ảnh hưởng tiêu cực với cơ thể.
Trám răng thưa bằng phương pháp trám Laser – Composite là phương pháp phổ biến trên thế giới với những tính ưu việt về tính thẩm mỹ, độ bền sử dụng và đặc biệt chi phí thấp, thực hiện nhanh và không gây bất kỳ tổn hại nào cho răng thật.
Trám răng thưa bằng phương pháp laser có độ bền sử dụng tốt khá lâu dài (trên 7 năm) vì phương pháp này có 2 điểm ưu việt sau:
– Composite sử dụng tại Peace Dentistry là vật liệu composite nha khoa được nhập chính hãng: khả năng chịu lực cao, không giãn nở vì nhiệt, kháng mòn, tính kháng màu (màu được duy trì lâu dài).
– Composite được dùng ban đầu ở thể sệt nên dễ dàng tạo hình răng và không để lại khe hở giữa răng và chất liệu trám, do đó, khi được chiếu laser và đông cứng lại thì composite và răng thật có sự kết nối rất cao, khó bị bong sứt.

(Trường hợp trám răng cửa thưa: vật liệu trám và răng thật tạo thành một khối chắc chắn có khả năng chịu lực nhai cao nên độ bền lâu dài (**))
Mặc dù có độ bền cao nhưng trám răng thưa bằng phương pháp trám laser – composite có độ bền thấp hơn so với 2 phương pháp thẩm mỹ răng sứ cho răng thưa hay mặt dán sứ Veneer cho răng thưa (phương pháp này có tuổi thọ từ 15 – 20 năm hoặc sử dụng trọn đời).
Tính thẩm mỹ cao, gần như khó phân biệt được răng được trám răng thưa hay răng thật về hình thể cũng như màu sắc vì:
– Chất liệu trám luôn có màu đồng nhất với răng thật (đo màu răng thật rồi mới pha màu composite) và khả năng kháng xuống màu, kháng nhiễm màu giúp răng sau khi trám có màu như răng thật và giữ được màu lâu dài.
– Composite ban đầu là dạng sệt nên việc tạo hình răng sẽ dễ dàng do đó, về mặt hình thể của răng là giống như răng thật.

(Tính đồng màu và tính tự nhiên về mặt hình thể răng là đặc điểm nổi bật của phương pháp trám răng thưa laser – trường hợp trám 3 khe thưa, trong đó 2 răng cửa bị thưa khá nhiều (**))
Thẩm Mỹ Nha Khoa |
|
| Đắp mặt răng | 600.000 |
| Đắp kẽ hở, thưa | 1.500.000 |
| Cắt nướu kéo dài thân răng | 500.000 - 1.000.000 |
| Làm dài thân răng nguyên hàm | 6.000.000 - 12.000.0000 |
| Đính đá, kim cương lên răng (công đính) | 400.000 |
| Tính thẩm mỹ | Tính thẩm mỹ cao: hình thể răng và màu sắc của răng giống như răng thật. |
|---|---|
| Tuổi thọ | Từ 5 – 7 năm hoặc lâu hơn nếu sử dụng kỹ, trong thời gian này cũng không có hiện tượng xuống màu của vật liệu trám. |
| Tính an toàn | Không có bất kỳ ảnh hưởng tiêu cực nào đến cơ thể, sức khỏe và tuổi thọ của răng. |
| Tính ăn nhai | Ăn nhai tốt, lực nhai khỏe, không ê buốt khi ăn nhai các vật nóng hoặc lạnh. Nhưng để có tuổi thọ sử dụng lâu dài thì cũng nên hạn chế thường xuyên ăn nhai các vật cứng. |
| Thời gian thực hiện | Từ 30 – 60 phút |
| Lưu ý | Sau một thời gian dài sử dụng, nếu chất liệu trám bị bong tróc, xuống màu thì tiến hành trám lại bình thường. |
– Nha khoa được cấp phép của Sở y tế và chứng nhận đầy đủ trang thiết bị nha khoa theo yêu cầu
– 100% bác sĩ tốt nghiệp Đại học Y dược Tp.HCM, trên 7 năm kinh nghiệm, và hầu hết bác sĩ đều đã qua các lớp đào tạo nghiệp vụ chuyên sâu
– Thiết bị và công nghệ trám răng thẩm mỹ laser hiện đại nhập từ Anh
– Cam kết sử dụng vật liệu trám Composite cao cấp

(Bác sĩ Nguyễn Thị Mỹ Hạnh trong một ca thực hiện trám răng thưa tại Peace Dentistry)
Xem thêm:
– Giới thiệu về Peace Dentistry
– 3 phương pháp khắc phục răng thưa hiệu quả cao tại Peace Dentistry
– Trên thị trường hiện nay chỉ có các nha khoa lớn, nha khoa uy tín chất lượng mới đủ điều kiện và công nghệ để thực hiện dịch vụ trám răng thẩm mỹ. Chính vì vậy để đảm bảo hiệu quả thẩm mỹ và độ bền cao khách hàng nên đến các nha khoa uy tín chất lượng, đội ngũ bác sĩ được đào tạo chuyên sâu về thẩm mỹ nha khoa, đồng thời sử dụng vật liệu trám răng cao cấp. (Bác sĩ Nguyễn Thị Mỹ Hạnh – Chuyên gia thẩm mỹ nha tại Peace Dentistry)
– Với răng thưa nghiêm trọng, khe thưa quá lớn thì trám răng laser sẽ bị hạn chế về độ bền lâu dài. Trong trường hợp này thì phương pháp thẩm mỹ răng sứ Veneer là hiệu quả nhất với tính thẩm mỹ cao và sử dụng rất lâu dài.

(Trám răng cửa bị thưa (**))

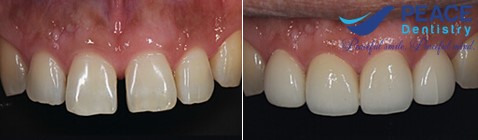
(Trám răng cửa bị thưa kết hợp điều chỉnh hình thể răng (**))

(Trám 2 kẻ thưa và đắp mặt răng (**))

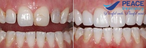
(Trám răng thưa và có bị mẻ răng (**))
"Hình ảnh đã được sự đồng ý của khách hàng"
(Bọc 20 răng sứ Zirconia Ceramill Zolid cho răng tối màu, bảo hành IPDI 10 năm (**))
(Bọc 20 răng sứ Cercon cho răng tối màu, bảo hành IPDI 10 năm (**))
(Trồng 2 trụ implant Neodent và răng sứ Zirconia khôi phục 2 răng cửa (Phục hình tức thì) (**))
(Tẩy trắng răng Plasma (**))
Xem thêm hình ảnh khách hàng tại Peace Dentistry
(Để lại thông tin và vấn đề về răng của bạn, Nha khoa sẽ gọi lại tư vấn ngay)