Trồng răng giả không chỉ là giúp ăn nhai tốt, nó còn phải đảm bảo tính thẩm mỹ cao, sự thuận tiện trong ăn nhai và vệ sinh răng miệng. Ngoài ra, còn phải sử dụng được lâu dài.
Bác sĩ Đinh Trường Hùng (chuyên khoa phục hình răng sứ) và Bác sĩ Thân Trọng Nguyên (chuyên khoa cấy ghép Implant) – Nha khoa Peace Dentistry sẽ tư vấn 3 phương pháp trồng răng giả ưu việt nhất hiện nay và chi phí trồng răng giả.
Trồng răng Implant (còn gọi là cấy ghép Implant) là phương pháp trồng răng giả cố định tốt nhất hiện nay và có tính ưu việt cao hơn hẳn mọi phương pháp trồng răng giả khác.
Răng Implant gồm có 2 phần: trụ Implant được cấy tích hợp vào xương hàm đóng vai trò chân răng và răng sứ được cố định lên trụ Implant. Video sau sẽ mô phỏng về phương pháp này.
Ưu điểm vượt trội so với các phương pháp trồng răng giả khác:
– Sức nhai khỏe, ăn nhai tự nhiên và thuận tiện như răng thật
– Sử dụng trọn đời
– Tính thẩm mỹ cao, ngăn ngừa tiêu xương, ngăn ngừa tụt nướu.
– Hoàn toàn không ảnh hưởng đến các răng thật kế cận
Nhược điểm: Chi phí cao hơn các phương pháp khác.

(Trồng răng Implant cho răng hàm)

(Trồng răng Implant cho răng cửa)
Chi phí để cấy ghép 1 răng Implant loại tốt (có tiêu chuẩn lưu hành quốc tế xuất xứ của Mỹ, Hàn Quốc, Pháp hay Thụy Sỹ) sẽ giao động từ 10 triệu – 20 triệu/1 răng Implant và có bảo hành trọn đời.
Cần lưu ý: Với trồng răng Implant không phải cứ mất bao nhiêu răng thì trồng bấy nhiêu trụ Implant. Ví dụ: nếu mất 3, 4, 5 răng liên tiếp nhau thì chúng ta chỉ cần trồng từ 2 – 3 trụ Implant. Còn nếu mất răng nguyên hàm chúng ta có thể trồng 4 trụ Implant là hoàn toàn đảm bảo hiệu quả cao.
Xem thêm:
– Trồng răng Implant và Bảng giá Implant tại Peace Dentistry
– Hình ảnh khách hàng trồng Implant tại Peace Dentistry
Trồng răng sứ cố định là phương pháp trồng răng giả đã phổ biến từ rất lâu, theo đó, bác sĩ sẽ dùng các răng thật kế cận để làm cầu từ đó khôi phục răng bị mất
Tại các nha khoa lớn với việc áp dụng công nghệ hiện đại thì trồng răng sứ cố định đã được nâng lên một tầm cao mới với các ưu điểm:
– Tính thẩm mỹ cao với hình thể và màu sắc như răng thật
– Ăn nhai khỏe, răng có khả năng chịu lục gấp từ 4 – 10 lần răng thật và sử dụng trên 20 năm hoặc trọn đời.
– Tỷ lệ mài răng kế cận ít hơn, không ảnh hưởng đến tuổi thọ răng thật được dùng làm cầu.
Nhưng so với trồng răng Implant thì trồng răng sứ không ưu việt bằng. Trồng răng implant khôi phục được chân răng nên cảm giác ăn nhai tốt, sức nhai khỏe trọn đời và không phải mài răng kế cận.
Nhưng trồng răng sứ lại có một điểm ưu việt đó là chi phí vừa phải.
Chi phí trồng răng sứ cao cấp (xuất xứ của Đức) có giá từ 1.500.000 VNĐ, hoặc với 4.000.000VNĐ – 5.000.000VNĐ chúng ta đã có thể làm những loại răng toàn sứ cao cấp của Đức như Zirconia, Cercon, …

(Trồng răng sứ cố định cho 3 răng hàm)

(Trồng răng sứ cố định 8 răng hàm)

(Trồng răng sứ cố định cho 5 răng cửa và răng nanh)

(Trồng răng sứ cố định cho 4 răng cửa)
Xem thêm: Trồng răng sứ cố định và bảng giá trồng răng sứ tại Peace Dentistry
Răng giả tháo lắp hoặc hàm tháo lắp là phương pháp trồng răng giả có chi phí thấp. Trong trường hợp mất gần như toàn bộ răng trên mỗi hàm hoặc nhiều răng thì dùng hàm tháo lắp. Nếu mất ít răng thì dùng răng giả tháo lắp.
Hàm tháo lắp hay răng tháo lắp đều có 3 phần chính: Khung sườn, nướu giả và răng.
Ưu điểm của răng giả tháo lắp và hàm tháo lắp là đáp ứng tương đối khả năng ăn nhai và thẩm mỹ với chi phí khá thấp.
Nhược điểm: So với cấy ghép Implant hoặc trồng răng sứ cố định dĩ nhiên hàm tháo lắp thua kém về sức nhai và tính thẩm mỹ.

(Răng giả nguyên hàm bằng hàm tháo lắp của Đức vẫn đáp ứng khá tốt chức năng ăn nhai và tính thẩm mỹ tương đối)

(Răng tháo lắp loại tốt cũng là một giải pháp hợp lý nếu chúng ta cần tiết kiệm chi phí)
Chi phí của hàm tháo lắp cao cấp giao động từ 8.000.000VNĐ – 12.000.000VND/1 hàm
Còn chi phí của răng giả tháo lắp thì được tính gồm phần khung sườn và nướu giả là 2.000.000VNĐ – 3.500.000VNĐ và phần răng giả là 250.000VNĐ – 500.000VNĐ/1 răng.
Xem thêm: Bảng giá các dịch vụ tại Peace Dentistry
"Hình ảnh đã được sự đồng ý của khách hàng"
(Bọc 20 răng sứ Zirconia Ceramill Zolid cho răng tối màu, bảo hành IPDI 10 năm (**))
(Bọc 20 răng sứ Cercon cho răng tối màu, bảo hành IPDI 10 năm (**))
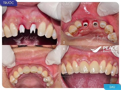
(Trồng 2 trụ implant Neodent và răng sứ Zirconia khôi phục 2 răng cửa (Phục hình tức thì) (**))
(Tẩy trắng răng Plasma (**))
Xem thêm hình ảnh khách hàng tại Peace Dentistry
(Để lại thông tin và vấn đề về răng của bạn, Nha khoa sẽ gọi lại tư vấn ngay)