Răng sứ Veneer là tên gọi thông dụng cho phương pháp mặt dán sứ Veneer. Đây là phương pháp thẩm mỹ răng sứ rất hiện đại với điểm nhấn là bảo tồn tối đa răng thật.
– Răng sứ Veneer có tốt không?
– Trường hợp nào phù hợp để làm răng sứ Veneer?
– Sau khi làm răng sứ Veneer, răng chúng ta trông như thế nào?
Răng sứ Veneer (mặt dán sứ Veneer) là một mặt sứ mỏng được cố định lên bề mặt trước và các cạnh bên và phía trên của răng nhằm giúp điều chỉnh màu sắc và hình thể răng. Từ đó giúp răng có một diện mạo mới thẩm mỹ hơn cả về màu sắc và hình thể.
Để làm răng sứ Veneer, bác sĩ chỉ cần xử lý bề mặt men răng để tạo độ bám cho mặt sứ và răng thật, mô răng thật gần như được giữ lại trọn vẹn.

Răng sứ Veneer (mặt dán sứ Veneer) là phương pháp rất hiện đại và ưu việt. Và nếu được bác sĩ thực hiện một cách chính xác, tỉ mỉ với loại mặt sứ cao cấp thì hiệu quả là rất cao và có thể kết luận chắc chắn: răng sứ Veneer là rất tốt. Cụ thể:
Khắc phục triệt để các khuyết điểm về màu răng và hình thể răng. Sau khi làm răng sứ Veneer bạn sẽ có một hàm răng đẹp về hình thể, màu sắc và sự hài hòa với tổng thể khuôn miệng, khuôn mặt.
Ăn nhai khỏe và hoàn toàn bình thường giống như răng thật, cảm giác ăn nhai tốt.
Với các loại răng sứ Veneer cao cấp và chúng ta chăm sóc răng tốt thì độ bền có thể trên 20 năm.
Răng sứ Veneer hoàn toàn lành tính và không gây bất kỳ kích ứng nào cho cơ thể và vì răng thật được giữ lại tối đa nên bạn cũng hoàn toàn không suy giảm sức khỏe và tuổi thọ răng thật.

(Một ca răng sứ veneer tại Peace Dentistry với tính thẩm mỹ tự nhiên, bảo tồn tối đa mô răng thật)
Nhưng khách hàng phải lưu ý, răng sứ veneer là rất tốt nhưng phải đảm bảo 4 yếu tố: Bác sĩ thực hiện đúng chỉ định, đúng kỹ thuật, chất liệu sứ veneer tốt, công nghệ Lab (chế tác răng sứ veneer) hiện đại. Ngược lại, các loại veneer kém chất lượng, bác sĩ làm không đúng yêu cầu kỹ thuật thì sẽ không đạt được tính thẩm mỹ tối đa cũng như độ bền.
Răng sứ Veneer là tốt và cực kỳ ưu việt nhưng yếu tố đầu tiên đó là nó cần phải được chỉ định đúng. Vậy trường hợp nào được chỉ định làm răng sứ veneer?
Răng sứ veneer được chỉ định cho các trường hợp như: răng tối màu, răng thưa, răng hình thể ngắn, nhỏ, quá dài hoặc không hài hòa kích thước giữa các răng nhưng yêu cầu là form răng phải không bị xô lệch nhiều và không có hiện tượng khớp cắn đối đầu (khớp cắn đối đầu nghĩa là khi chúng ta khép miệng ở tư thế bình thường thì răng cửa hàm trên và răng cửa hàm dưới đối đầu trực diện vào nhau. Thông thường thì không có hiện tượng này, răng cửa hàm trên và hàm dưới sẽ có một khoảng hở nhất định).

(Form răng tương đối đều, không xô lệch nhiều và không có hiện tượng khớp cắn đối đầu thì đều có thể làm răng sứ veneer)
Chúng ta có thể tham khảo qua những hình ảnh trước và sau khi làm răng sứ veneer tại chuyên khoa thẩm mỹ nha khoa Peace Dentistry:

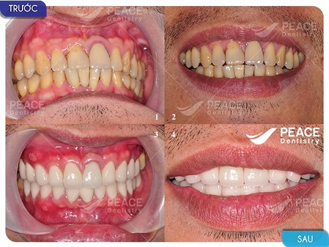
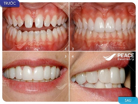
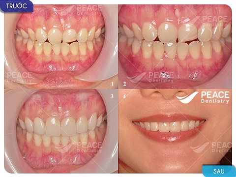
(Răng tối màu từ bên trong sau khi làm răng sứ veneer mà chỉ cần xử lý về mặt men răng, mô răng thật được giữ lại gần như trọn vẹn)

(Một trường hợp kết hợp làm cả răng sứ veneer và bọc răng sứ và có mài mỏng bề mặt men răng để điều chỉnh các răng bị lệch nhẹ ra ngoài)

(Với 9 răng sứ veneer giúp khắc phục triệt để răng thưa, nhỏ đồng thời điều chỉnh kích thước giữa các răng cho hài hòa về mặt thẩm mỹ)

(Làm răng sứ veneer cho răng ngắn, mẻ nhiều răng)

(Làm 6 răng sứ veneer cho răng ngắn, nhỏ và hình thể không đẹp)

(Làm 1 răng sứ veneer cho răng bị mẻ)
Với câu hỏi “răng sứ veneer có tốt không?”, Bác sĩ Trần Quang Thái (chuyên khoa thẩm mỹ nha khoa thuộc hệ thống nha khoa Peace Dentistry) kết luận:
Mặt dán sứ veneer mà nhiều người quen gọi răng sứ veneer là một phương pháp thẩm mỹ răng sứ rất hiện đại, ưu việt và chắc chắn là một phương pháp tốt cho các trường hợp có khuyết điểm về màu răng hay hình thể răng với đặc tính bảo tồn tối đa mô răng thật.
Nhưng để đạt được hiệu quả cao về thẩm mỹ, chức năng ăn nhai và tính lâu dài thì chắc chắn khách hàng phải chọn các cơ sở nha khoa uy tín với bác sĩ có chuyên môn và kinh nghiệm về phương pháp này, sử dụng chất liệu mặt sứ tốt, nên là các loại mặt sứ chính hãng được bảo hành lâu dài với thẻ IDPI (thẻ này có mã số truy xuất nguồn gốc vật liệu sứ). Ngoài ra, mặt sứ phải được chế tác bằng công nghệ LAB hiện đại.
Xem thêm: Dịch vụ mặt dán sứ veneer (răng sứ veneer) và bảng giá veneer tại Peace Dentistry
"Hình ảnh đã được sự đồng ý của khách hàng"
(Dán 6 mặt sứ Veneer điều chỉnh hình thể răng (**))
(Dán mặt sứ Veneer, bọc răng sứ - thẩm mỹ răng toàn diện (**))
(Dán mặt sứ Veneer Emax cho răng nhiễm fluor (**))
(Dán 4 mặt sứ cho răng hình thể xấu, hở kẽ (**))
(Để lại thông tin và vấn đề về răng của bạn, Nha khoa sẽ gọi lại tư vấn ngay)