Răng mọc lệch (răng lệch lạc, răng không đều) không chỉ ảnh hưởng đến thẩm mỹ mà còn mang đến nhiều nguy cơ bệnh răng miệng. Niềng răng được xem là giải pháp phổ hiện và hiệu nhất trong việc niềng răng mọc lệch. Hiện nay, với các phương pháp niềng răng hiện đại thì việc khắc phục răng mọc lệch đạt hiệu quả rất cao mà cũng không mất quá nhiều thời gian cũng như chi phí.
Bài viết với sự tư vấn của Bác sĩ Bùi Tuấn Anh (Chuyên khoa chỉnh nha niềng răng Peace Dentistry) sẽ giúp chúng ta hiểu rõ hơn về răng mọc lệch và phương pháp niềng răng mọc lệch.
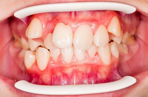
Răng mọc lệch là hiện tượng 1 hay nhiều răng không nằm thẳng hàng trên cung hàm. Và có thể gồm các hình thái sau:
– Mọc lệch 1 hay vài răng (răng khểnh) hoặc mọc lệch nhiều răng (răng không đều, lệch lạc)
– Chân răng mọc lệch ngoài cung hàm (mọc lệch vào trong hoặc lệch ra ngoài)
– Chân răng mọc đều trên cung hàm nhưng phần thân răng lại móc lệch hướng ra ngoài hoặc vào trong hoặc mọc nghiêng qua một bên (răng mọc chìa ra ngoài hoặc vào trong)
– Răng mọc theo kiểu chữ V (răng bị xoay hướng)

(Răng mọc lệch có rất nhiều hình thái khác nhau và là tình trạng phổ biến nhất ở Việt Nam)
Răng mọc lệch (không đều) có rất nhiều nguyên nhân, nhưng phổ biến:
– Răng mọc nhưng không đủ khoảng trống trên cung hàm dẫn đến mọc chen chúc, từ đó chèn ép nhau và một số bị đẩy lệch ra khỏi cung hàm. Đây là nguyên nhân rất phổ biến và chủ yếu là do di truyền.
– Răng khôn mọc và gây xô lệch răng: Răng khôn khi cấu trúc xương hàm đã ổn định nên răng khôn không đủ khoảng trống để mọc, từ đó gây chèn ép lên răng số 7, răng số 7 lại chèn ép răng số 5,…cứ vậy cho đến chèn ép các răng cửa. Cuối cùng răng chúng ta bị chèn ép và di chuyển dẫn đến xô lệch.
– Mất răng: Mất răng gây nên hiện tượng tiêu xương hàm, từ đó gây nên hiện tượng di chuyển các răng khác và lệch xô lệch răng: Mút tay, nghiến răng, đẩy lưỡi, mút môi, bú bình, thường xuyên ăn nhai đồ ăn cứng…
– Mất răng sữa quá sớm
– Răng vĩnh viễn mọc nhưng răng sữa không chịu rụng.

(Trường hợp răng mọc lệch nhiều răng và nghiêm trọng do răng mọc chen chúc)
Hiện nay, có 2 phương pháp khắc phục răng mọc lệch đạt hiệu quả cao là niềng răng và bọc răng sứ. Bọc răng sứ thực hiện nhanh (4 – 7 ngày) và mang lại hiệu quả thẩm mỹ cao cũng như tính an toàn. Nhưng bọc răng sứ chỉ áp dụng cho các trường hợp răng lệch lạc ở mức độ nhẹ hay vừa phải và phải trên 18 tuổi (răng đã phát triển ổn định). Còn niềng răng thì áp dụng cho mọi trường hợp răng mọc lệch và đều đảm bảo hiệu quả cao và an toàn, không tổn hại răng thật. Do đó, niềng răng mọc lệch là giải pháp phổ biến hơn.

(Trường hợp niềng răng mọc lệc Peace Dentistry, sau 13 tháng)
Niềng răng là quá trình di chuyển các răng về đúng vị trí thẳng và đều trên cung hàm thông qua việc đeo mắc cài và điều chỉnh lực kéo – đẩy của mắc cài. Với niềng răng mọc lệch thì ngoài việc niềng 2 hàm thì còn nhiều trường hợp chỉ cần niềng răng 1 hàm (xô lệch răng trên hàm nào thì niềng hàm đó).
Hiệu quả sau khi niềng răng mọc lệch:
– Răng đều trên cung hàm, hướng răng thẳng, khớp cắn chuẩn giữa 2 hàm
– Răng khỏe, không suy giảm tuổi thọ hay sức nhai
– Nếu đeo hàm duy trì đúng chỉ định của bác sĩ thì răng đảm bảo không có hiện tượng tái xô lệch (Hàm duy trì được cấp miễn phí cho khách hàng, được đeo vào buổi tối và cảm giác cũng khá thoải mái).
– Niềng răng mọc lệch bằng mắc cài kim loại (thông thường hoặc tự đóng).
– Niềng răng mọc lệch bằng mắc cài sứ trong suốt.

(Niềng răng mắc cài sứ mang lại hiệu quả cao và tính thẩm mỹ khi đeo mắc cài, đây là xu hướng được nhiều khách hàng lựa chọn)
Lưu ý: nếu răng mọc lệch trên 1 hàm thì dùng niềng răng 1 mắc cài, còn nếu răng mọc lệch trên cả 2 hàm thì đeo mắc cài cả 2 hàm.

(Niềng răng 1 hàm khi răng mọc lệch chỉ ở một hàm)
Thời gian niềng răng mọc lệch phụ thuộc vào 2 yếu tố: Mức độ xô lệch nặng hay nhẹ, độ tuổi của người niềng răng. Nếu răng xô lệch nhẹ (dù ít răng hay bị mọc lệch nhiều răng) và ở người trẻ tuổi thì thời gian niềng răng sẽ nhanh hơn so với các trường hợp răng xô lệch nghiêm trọng và lớn tuổi.
Số liệu thống kê trên hơn 300 ca niềng răng mọc lệch tại Peace Dentistry từ 2017 – 2018 thì với các trường hợp niềng răng dưới 20 tuổi và răng xô lệch nhẹ hoặc vừa phải thì thời gian dao động từ 6 – 10 tháng. Các trường hợp xô lệch nhẹ hoặc vừa phải nhưng trên 20 tuổi thì thời gian niềng răng dao động từ 12 – 15 tháng. Nếu khuyết điểm nghiêm trọng (xô lệch nghiêm trọng) thì thời gian sẽ dao động từ 20 – 28 tháng. Có những trường hợp phức tạp thì thời gian có thể trên 28 tháng.

(Trường hợp xô lệch được niềng răng trong 16 tháng)
Chi phí niềng răng mọc lệch phục thuộc vào mức độ khó của ca điều trị và thời gian niềng răng. Nếu răng xô lệch nhẹ và tuổi trẻ thì chi phí sẽ thấp hơn những ca xô lệch nghiêm trọng và lớn tuổi. Cụ thể:
Chỉnh nha niềng răngGiảm Đến 30%. Xem thêm chương trình ưu đãi: tại đây |
||
1. Niềng Răng Mắc Cài |
||
| Dịch Vụ | Giá Niêm Yết (VND) | Giá Ưu Đãi (VND) |
| Niềng răng mắc cài kim loại (1 hàm, hở kẽ) | 20.000.000 | 15.000.000 |
| Niềng răng mắc cài kim loại (2 hàm) | 35.000.000 - 45.000.000 |
30.000.000 - 40.000.000 |
| Niềng răng mắc cài sứ | 47.000.000 - 57.000.000 |
42.000.000 - 51.000.000 |
| Niềng răng mắc cài mặt trong | Giá tùy theo trường hợp | Giá tùy theo trường hợp |
2. Niềng Răng Mắc Cài Tự Đóng |
||
| Dịch Vụ | Giá Niêm Yết (VND) | Giá Ưu Đãi (VND) |
| Niềng răng mắc cài kim loại tự đóng | 44.000.000 - 54.000.000 |
34.500.000 - 44.500.000 |
| Niềng răng mắc cài sứ tự đóng | 50.000.000 - 60.000.000 |
37.500.000 - 47.500.000 |
3. Niềng Răng Trong Suốt Invisalign |
||
| Dịch Vụ | Giá Niêm Yết (VND) | Giá Ưu Đãi (VND) |
| Invisalign Essential | 40.000.000 | 28.000.000 |
| Invisalign Express | 45.500.000 | 31.850.000 |
| Invisalign Lite | 75.700.000 | 52.990.000 |
| Invisalign First | 70.650.000 - 84.250.000 |
49.455.000 - 58.975.000 |
| Invisalign Moderate | 111.950.000 | 78.365.000 |
| Invisalign Comprehensive | 119.600.000 - 121.400.000 | 83.720.000 - 84.980.000 |
| Cam kết: tất cả các loại khí cụ, mắc cài đều là sản phẩm cao cấp, chính hãng: Invisalign, Tomy, AO, Morelli, RMO,... Lưu ý: Có áp dụng thanh toán trả góp lãi suất 0% |
||
Niềng răng nói chung hay niềng răng mọc lệch nói riêng tại Peace Dentistry đều mang lại hiệu quả cao trong mọi độ tuổi (từ 12 – 45 tuổi). Dĩ nhiên, tuổi càng lớn thì thời gian sẽ kéo dài hơn. Nhưng lý tưởng nhất là người trẻ tuổi (12 – 20 tuổi). Ở độ tuổi này, cấu trúc xương hàm còn “mềm” nên việc di chuyển răng sẽ thuận lợi và dễ dàng hơn.

(12 – 20 tuổi là độ tuổi lý tưởng để niềng răng trông mọi trường hợp kể cả răng mọc lệch)
Ở độ tuổi từ 20 – 25 tuổi, việc niềng răng cũng không mất quá nhiều thời gian vì cấu trúc xương hàm chưa quá “cứng”.
Với các độ tuổi dưới 12 (hoặc răng vĩnh viễn mọc chưa xong) thì cũng có thể chỉnh nha bằng các phương pháp như đeo hàm trainer.
Nói tóm lại, khi đã đủ răng vĩnh viễn thì niềng răng càng sớm càng tốt: Vừa nhanh, vừa ít tốn chi phí lại vừa đảm bảo hiệu quả rất cao.

Bác sĩ Bùi Tuấn Anh:
– Tốt nghiệp đại học Y Dược Tp.HCM
– Đào tạo sau đại học chuyên sâu về chỉnh nha niềng răng Đại Học Y DƯợc Tp.HCM
– Tu nghiệp chỉnh nha niềng răng theo chương trình Progressive (California – USA)
– 12 năm kinh nghiệm chỉnh nha niềng răng.
"Hình ảnh đã được sự đồng ý của khách hàng"
(Để lại thông tin và vấn đề về răng của bạn, Nha khoa sẽ gọi lại tư vấn ngay)