(Mắc cài sứ hay còn được gọi là mắc cài pha lê hay mắc cài trong suốt)
Thống kê từ khoa chỉnh nha thuộc Peace Dentistry, niềng răng mắc cài sứ chiếm hơn 40% các trường hợp niềng răng. Trong tổng số hơn 400 ca niềng răng năm 2017 thì có đến 180 ca niềng răng mắc cài sứ. Vậy, niềng răng mắc cài sứ ưu việt như thế nào? Ai nên niềng răng mắc cài sứ? Và chi phí là bao nhiêu?
Bài viết sau với tư vấn của bác sĩ chỉnh nha Nguyễn Trọng Nguyễn (tu nghiệp chỉnh nha chương trình Progressive – USA, công tác tại khoa chỉnh nha Peace Dentistry) sẽ giải đáp 4 vấn đề cơ bản của niềng răng mắc cài sứ.
Mắc cài sứ là mắc cài niềng răng được cấu tạo bằng chất liệu sứ trắng (tương đồng với màu răng thật) hoặc sứ trong (nhiều người quen gọi là mắc cài pha lê, hay mắc cài trong suốt).
Với các loại mắc cài sứ cao cấp còn có thiết kế khá nhỏ gọn và tinh xảo. Với màu sắc và thiết kế như vậy, giúp mắc cài gần như “vô hình” khi nhìn từ xa và cũng rất thẩm mỹ khi nhìn gần.

(Niềng răng với mắc cài sứ trong suốt hay còn gọi mắc cài pha lê giúp khách hàng hoàn toàn tự tin giao tiếp (**))
Mắc cài sứ có mang lại hiệu quả như niềng răng bằng mắc cài kim loại hay không?
Về nguyên lý chỉnh nha thì niềng răng mắc cài sứ (sứ trắng, sứ trong suốt – mắc cài pha lê) hoàn toàn giống với niềng răng mắc cài kim loại, đó là quá trình di chuyển các răng một cách an toàn dưới tác dụng của mắc cài và dây cung theo phác đồ của bác sĩ. Vì vậy, niềng răng mắc cài sứ có hiệu quả giống như niềng răng mắc cài kim loại.
Nhưng khi dùng niềng răng mắc cài sứ thì Bác sĩ cần phải điều chỉnh lực kéo đẩy thấp hơn so với mắc cài kim loại. Do đó, thời gian hoàn thành niềng răng sẽ kéo dài hơn từ 3 – 6 tháng (thống kê trong 400 khách hàng niềng răng).

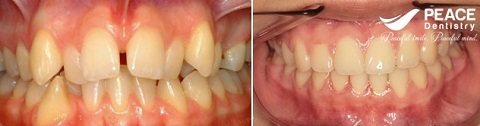
(Niềng răng mắc cài sứ, khách hàng 22 tuổi bị khớp cắn chéo là một dạng khuyết điểm phức tạp – kết quả trước và sau khi niềng 15 tháng (**))
– Trường hợp 1 (bên trái): niềng răng mắc cài sứ, khách hàng nữ 18 tuổi, răng xô lệch phức tạp, mức độ xô lệch lớn. Và kết quả sau 20 tháng niềng răng.
– Trường hợp 2 (bên phải): Niềng răng mắc cài kim loại, khách hàng nữ, 19 tuổi, xô lệch nghiêm nghiêm trọng. Và kết quả sau 18 tháng niềng răng.

(Bên trái: niềng răng mắc cài sứ – Bên phải: niềng răng mắc cài kim loại (**))
Chi phí niềng răng mắc cài sứ cũng có nhiều mức khác nhau tùy vào mức độ nghiêm trọng của khuyết điểm, bao gồm:
– Niềng răng mắc cài sứ với trường hợp đơn giản (hô, móm, xô lệch, thưa nhưng bị nhẹ thời gian niềng nhanh).
– Niềng răng mắc cài sứ một hàm (Hô, móm, xô lệch, thưa một hàm và nằm trong giới hạn chỉnh nha 1 hàm).
– Niềng răng mắc cài sứ hai hàm và phức tạp (khuyết điểm nghiêm trọng và thời gian niềng răng kéo dài)
Chỉnh nha niềng răngGiảm Đến 30%. Xem thêm chương trình ưu đãi: tại đây |
||
1. Niềng Răng Mắc Cài |
||
| Dịch Vụ | Giá Niêm Yết (VND) | Giá Ưu Đãi (VND) |
| Niềng răng mắc cài kim loại (1 hàm, hở kẽ) | 20.000.000 | 15.000.000 |
| Niềng răng mắc cài kim loại (2 hàm) | 35.000.000 - 45.000.000 |
30.000.000 - 40.000.000 |
| Niềng răng mắc cài sứ | 47.000.000 - 57.000.000 |
42.000.000 - 51.000.000 |
| Niềng răng mắc cài mặt trong | Giá tùy theo trường hợp | Giá tùy theo trường hợp |
2. Niềng Răng Mắc Cài Tự Đóng |
||
| Dịch Vụ | Giá Niêm Yết (VND) | Giá Ưu Đãi (VND) |
| Niềng răng mắc cài kim loại tự đóng | 44.000.000 - 54.000.000 |
34.500.000 - 44.500.000 |
| Niềng răng mắc cài sứ tự đóng | 50.000.000 - 60.000.000 |
37.500.000 - 47.500.000 |
3. Niềng Răng Trong Suốt Invisalign |
||
| Dịch Vụ | Giá Niêm Yết (VND) | Giá Ưu Đãi (VND) |
| Invisalign Essential | 40.000.000 | 28.000.000 |
| Invisalign Express | 45.500.000 | 31.850.000 |
| Invisalign Lite | 75.700.000 | 52.990.000 |
| Invisalign First | 70.650.000 - 84.250.000 |
49.455.000 - 58.975.000 |
| Invisalign Moderate | 111.950.000 | 78.365.000 |
| Invisalign Comprehensive | 119.600.000 - 121.400.000 | 83.720.000 - 84.980.000 |
| Cam kết: tất cả các loại khí cụ, mắc cài đều là sản phẩm cao cấp, chính hãng: Invisalign, Tomy, AO, Morelli, RMO,... Lưu ý: Có áp dụng thanh toán trả góp lãi suất 0% |
||
– Hiệu quả điều trị cao.
– Mang lại cảm giác tự tin cho người niềng răng.
– Cảm giác đeo mắc cài thoải mái hơn, giảm thiểu cảm giác khó chịu trong thời gian thích nghi mắc cài.
– Cùng có hiệu quả “vô hình mắc cài” như niềng răng mắc cài mặt lưỡi (mặt trong) hay niềng răng Invisalign (niềng răng không mắc cài hay khay niềng răng trong suốt) nhưng giá thành thấp hơn rất nhiều.
Mắc cài sứ tuy được làm từ sứ cao cấp và chịu lực rất cao nhưng vẫn không bằng mắc cài kim loại, do đó:
– Nếu bác sĩ chỉnh nha thiếu kinh nghiệm thì trong quá trình điều chỉnh mắc cài có thể dẫn đến bị gãy các mặt mắc cài. Do đó, để niềng răng mắc cài sứ Bác sĩ phải có kinh nghiệm về mắc cài này và phải thực hiện với những thiết bị nha khoa hiện đại.
– Với các bạn có thói quen thường xuyên ăn uống các thực phẩm cứng thì có thể làm gãy mắc cài. Thực tế, trong 180 ca niềng răng mắc cài sứ thực hiện tại Peace Dentistry 2017 thì có 6 trường hợp bị gãy mặt mắc cài sứ.
Niềng răng mắc cài sứ áp dụng cho tất cả các trường hợp: hô, móm, xô lệch, thưa, lệch khớp cắn ở các mức độ khác nhau đều có thể sử dụng niềng răng mắc cài sứ. Đặc biệt, với những người giao tiếp nhiều thì sử dụng mắc cài sứ là một lựa chọn tối ưu. Nhưng với những trường hợp xô lệch quá nghiêm trọng, có sở thích ăn nhai thực phẩm cứng thì nên hạn chế các thói quen này.
(Hình ảnh đã được sự đồng ý của khách hàng)

(Niềng răng mắc cài sứ răng xô lệch, 16 tuổi sau 18 tháng (**))

(Niềng răng mắc cài sứ răng xô lệch, 25 tuổi sau 25 tháng (**))

(Niềng răng mắc cài sứ cho răng hô và lệch lạc, 19 tuổi sau 21 tháng (**))

(Niềng răng mắc cài sứ răng xô lệch, 27 tuổi, sau 22 tháng (**))

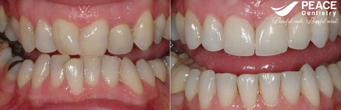
(Chỉnh nha mắc cài sứ cho răng móm, xô lệch 2 hàm sau 18 tháng (**))
Xem thêm:
– Niềng răng tại Peace Dentistry
– Peace Dentistry – Trung tâm chỉnh nha uy tín tại Tp.HCM cho học sinh – sinh viên
"Hình ảnh đã được sự đồng ý của khách hàng"
(Để lại thông tin và vấn đề về răng của bạn, Nha khoa sẽ gọi lại tư vấn ngay)