Răng nhiễm kháng sinh là hiện tượng răng bị ố màu (vàng, đen sậm hoặc màu răng loang lổ các khoảng tối sáng lẫn lộn). Răng nhiễm kháng sinh là răng tối màu từ bên trong mô răng, nó hoàn toàn khác với nhiễm màu từ thực phẩm.
Biểu hiện răng nhiễm kháng sinh:
Tùy vào thời điểm dùng kháng sinh, tùy vào lượng kháng sinh dung nạp và tùy vào loại kháng sinh mà răng bị nhiễm kháng sinh sẽ bị tối màu ở các mức độ năng nhẹ khác nhau:
– Răng đen sậm toàn bộ
– Răng ố vàng loang lổ
– Răng ố vàng nhẹ

(Răng bị nhiễm kháng sinh nặng do lúc nhỏ sử dụng quá nhiều tetra)

(Răng nhiễm kháng sinh, màu răng ố vàng loang lỗ)

(Răng nhiễm kháng sinh dạng nhẹ, màu hơi sậm vàng)
Khi người mẹ trong quá trình mang thai có dụng kháng sinh thì sẽ mang đến nguy cơ răng của con sẽ bị nhiễm kháng sinh sau này.
Ngoài ra, khi các bé chưa quá 7- 8 tuổi, nếu sử dụng các loại kháng sinh kể trên cũng mang đến nguy cơ răng bị nhiễm kháng sinh.
Có phải cứ uống thuốc kháng sinh là răng bị nhiễm kháng sinh?
Hoàn toàn không đúng!
Thuốc kháng sinh có nhiều chủng loại, trong đó chỉ những loại thuốc kháng sinh có chứa tetra hoặc loại tương tự mới gây nên hiện tượng răng bị nhiễm kháng sinh. Rất nhiều loại thuốc kháng sinh không mang đến nguy cơ răng nhiễm tetra. Ngoài ra, kể cả khi bạn dùng kháng sinh có chứa tetra đi nữa nhưng phải ở một liều lường quá mức mới có thể gây hiện tượng răng nhiễm tetra và nó còn phụ thuộc vào cơ địa mỗi người.
Hiện nay, rất nhiều nha khoa quảng cáo tẩy trắng răng hiệu quả cao với mọi trường hợp nhiễm kháng sinh. Điều này hoàn toàn không đúng, đó đơn giản chỉ là “quảng cáo sai sự thật và chèo kéo khách hàng”.
Bản chất của Răng bị nhiễm kháng sinh nghĩa là răng bị tối màu từ bên trong, trong khi Tẩy trắng răng chỉ hiệu quả cao với các trường hợp nhiễm màu thực phẩm. Ngay đến cả phương pháp tẩy trắng răng hiện đại Plasma thì cũng chỉ mang tính chất cải thiện phần nào đó màu răng bị nhiễm kháng sinh chứ không mang lại hiệu quả cao như quảng cáo.

(Tẩy trắng răng bằng PP Plasma cũng chỉ mang lại hiệu quả cải thiện một phần chứ không mang lại hiệu quả cao như quảng cáo)
Giải pháp tối ưu nhất đối với răng bị nhiễm kháng sinh đó chính là Thẩm mỹ răng sứ. Cụ thể: bác sĩ sẽ xử lý bề mặt men răng bên ngoài (mài răng giữ lại tối đa răng thật) sau đó, bọc ở bên ngoài một mão sứ.
Hiệu quả như thế nào đạt được sau khi thẩm mỹ răng sứ:
– Răng sẽ khắc phục hoàn toàn tình trạng tối màu do nhiễm kháng sinh, màu răng mới sẽ là màu thẩm mỹ nhất theo ý muốn của khách hàng
– Điều chỉnh hình thể răng sao cho thẩm mỹ nhất
– Răng ăn nhai hoàn toàn bình thường, không suy giảm tuổi thọ và sức khỏe của răng. Thậm chí với các loại răng sứ tốt thì sẽ tạo nên sự bảo vệ hữu hiệu hơn cho răng.
– Và với các phương pháp thẩm mỹ răng sứ hiện đại thì tỉ trọng răng thật được giữ lại tối đa (gần như chỉ cần xử lý 1 lớp mỏng bề mặt men răng)

(Răng nhiễm kháng sinh mức độ nhẹ, răng cửa hơi chìa ra ngoài, hình thể răng chưa đẹp – sau khi thẩm mỹ răng sứ)

(Thẩm mỹ răng sứ cho răng nhiễm kháng sinh, form răng ngắn và chỉ xử lý bề mặt men răng)

(Chỉ thẩm mỹ răng sứ cho những răng nào lộ diện khi cười lớn, các răng phía trong không ảnh hưởng thẩm mỹ thì không cần can thiệp)

(Trường hợp bị nhiễm kháng sinh rất nhẹ có thể sử dụng PP mặt dán sứ Veneer, xử lý bề mặt men răng)
Thẩm mỹ răng sứ nếu bác sĩ thực hiện đúng chỉ định, đúng kỹ thuật với chất liệu sứ tốt thì thời gian sử dụng là rất lâu dài, có thể 20 năm hoặc lâu hơn. Nếu vệ sinh răng tốt thì có thể sử dụng trọn đời. Sau thời gian dài nếu răng sứ xuống cấp chúng ta hoàn toàn có thể bọc lại răng sứ mà không ảnh hưởng gì đến sức khỏe của răng.
"Hình ảnh đã được sự đồng ý của khách hàng"
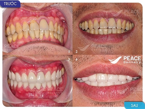
(Bọc 20 răng sứ Cercon cho răng tối màu, bảo hành IPDI 10 năm (**))
(Bọc răng sứ Zirconia nguyên hàm (20 răng) thẩm mỹ toàn diện nụ cười (**))
(Bọc 20 răng sứ Zirconia cho răng nhiễm kháng sinh, hình thể xấu, sâu răng (**))
Bọc răng sứ nguyên hàm và phục hồi răng mất với răng sứ Zirconia Zolid
(Để lại thông tin và vấn đề về răng của bạn, Nha khoa sẽ gọi lại tư vấn ngay)