Chào Nha khoa! Tôi có bị mất một số răng hàm và cả răng cửa, khi đi khám thì bác sĩ có tư vấn nên cấy ghép Implant (trồng răng Implant). Nhưng vì chưa biết về phương pháp này nên tôi hơi lo. Nha khoa có thể cho tôi hỏi một số câu:
– Cấy ghép Implant có tốt không? (Ăn nhai có như răng thật, tính thẩm mỹ thế nào, tuổi thọ bao lâu ?)
– Trồng răng Implant có an toàn tuyệt đối không? Có thể có biến chứng hay vấn đề gì hay không? Có đau hay không?
Ths.Bs Thân Trọng Nguyên (Thành viên hiệp hội Implant quốc tế ICOI, Ủy viên BCH Hiệp hội Implant TP.HCM) đang là Trưởng chuyên khoa cấy ghép Implant tại Peace Dentistry sẽ trả lời các câu hỏi trên:
Cấy ghép Implant (Trồng răng Implant) là phương pháp trồng răng giả ưu việt và hiện đại nhất hiện nay, là phương pháp duy nhất khôi phục được cả chân răng và thân răng. Trụ Implant sau khi được cấy ghép sẽ tích hợp vào xương hàm đóng vai trò chân răng vững chắc và mão sứ cố định trên trụ Implant đóng vai trò thân răng.
Có thể kết luận: Trồng răng Implant tốt hơn hẳn mọi phương pháp trồng răng giả trước đây, nó mang lại lợi ích vượt trội cho người trồng răng. Các lợi ích mà phương pháp này mang lại bao gồm:
Trụ Implant bằng Titanium (chuyên dùng trong cấy ghép y khoa) khi được cấy ghép sẽ tích hợp vào xương hàm để tạo thành một chân răng giả không khác gì chân răng thật nên sức nhai rất khỏe, cảm giác ăn nhai cũng gần như răng thật và rất lành tính với cơ thể.

(Răng Implant có đầy đủ các phần tương tự như răng thật)(**))
Xem thêm: Hình ảnh khách hàng cấy ghép implant tại Peace Dentistry
Trụ Implant sẽ tồn tại vững chắc ở xương hàm và bản thân trụ Implant cũng được thiết kế vô cùng chắc chắn nên rất hiếm khi xảy ra các hiện tượng hư hỏng. “Một khi đã trồng răng implant thì chúng ta thoải mái sử dụng nó mà không làm suy giảm sức nhai của răng”.

(Trụ Implant tích hợp chắc chắn vào xương hàm(**))
Khi chúng ta mất răng, thì ổ xương chân răng sẽ bị tiêu dần theo thời gian. Khi xương hàm bị tiêu sẽ dẫn đến các hiện tượng: tụt nướu, xô lệch các răng còn lại (răng di chuyển), biến đổi khuôn mặt (móm, hóp má).
Với trồng răng Implant thì khôi phục được chân răng nên sẽ ngăn chặn trường hợp tiêu xương hàm từ đó ngăn ngừa luôn các hiện tượng: tụt nướu, xô lệch răng còn lại, và ngăn chặn hiện tượng hóp má, móm.

(Mất răng dẫn đến tiêu xương gây hóp má, móm, tụt nướu và di chuyển răng – Cấy răng implant là phương pháp tốt để giải quyết hiện tượng này (**))

(Cấy ghép Implant giúp ngăn ngừa hiện tượng tiêu xương, từ đó ngăn ngừa việc tụt nướu và biến đổi cấu trúc xương hàm(**))

(Trồng răng Implant và trồng răng sứ bắc cầu là 2 phương pháp trồng răng giả cố định ưu việt, nhưng trồng răng Implant không cần mài răng kế cận như trồng răng sứ (**))
Do khôi phục cả chân răng và thân răng nên sau khi trồng răng Implant, chúng ta sẽ sở hữu lại hàm răng mà hoàn toàn không phân biệt được răng giả hay răng thật.
Mặt khác, việc trồng Implant cũng khôi phục được vấn đề biến đổi cơ mặt do mất răng nên hiệu quả thẩm mỹ sẽ cao hơn các phương pháp khác.

(Trồng răng Implant để thay thế cho răng sứ bắc cầu (**))
Về tính an toàn: Cấy Implant không có xác suất gây ra các biến chứng nguy hiểm đến sức khỏe, lượng máu mất ít. Tại Peace Dentistry Tp.HCM mỗi năm có từ 1200 ca – 1500 ca cấy ghép Implant nhưng chưa có bất cứ trường hợp nào xảy ra các biến chứng khi cấy ghép Implant.
Nhưng! Nói như thế không có nghĩa là bác sĩ nào cũng có thể cấy ghép Implant. Muốn cấy ghép Implant, bác sĩ phải được đào tạo chuyên sâu, có chứng chỉ cấy Implant và nha khoa phải có đầy đủ các trang thiết bị chẩn đoán và điều trị cấy ghép Implant.
Vì vậy, khách hàng cần lưu ý: “Để đảm bảo hiệu quả cao nhất cho một ca Implant, nha khoa phải tiến hành các bước khám lâm sàn và cận lâm sàn như: Khám răng miệng, chụp phim CT vùng xương hàm, xét nghiệm máu. Ngoài ra, nha khoa phải có máy cắm Implant hiện đại, ghế nha chuyên dụng cấy ghép Implant, hệ thống phòng nha được thanh trùng bằng đèn cực tím trước khi cấy ghép” – Ths.Bs Thân Trọng Nguyên – Trưởng chuyên khoa cấy ghép Implant Peace Dentistry.

(Nha khoa cấy ghép Implant phải có đầy đủ trang thiết bị hiện đại – Hình ảnh tại Peace Dentistry (**))
Cấy Implant về cơ bản có gây tê trong quá trình cấy ghép nên sẽ không có cảm giác trong quá trình cấy, sau đó khi thuốc tê hết tác dụng, thì khách hàng được dùng thuốc giảm đau khoảng 2 -3 ngày. Lúc này, vết thương cũng bắt đầu ổn định thì không cần uống giảm đau nữa.
Thời gian trung bình để cấy một trụ Implant tại Peace Dentistry sẽ mất khoảng 15 phút, và lượng máu bị mất là không đáng kể. Do đó, khách hàng cũng không mất sức. Thực tế cho thấy tại Peace Dentistry, nhiều khách hàng cấy Implant ở độ tuổi trên 70 và cấy trên 4 trụ Implant thì sau cấy ghép Implant khách hàng vẫn đứng dậy đi lại bình thường.
Ths.Bs Thân Trọng Nguyên – Hiệp hội Implant quốc tế ICOI, khoa cấy ghép Implant Peace Dentistry lưu ý:
Trồng răng Implant là một phương rất ưu việt do đó, chúng ta nên cấy ghép Implant khi đủ điều kiện. Nhưng phương pháp này có tính hiện đại hơn và có quy mô là một ca tiểu phẫu, do đó, đòi hỏi Nha khoa phải đáp ứng 5 yếu tố sau:
(1) Có giấy phép hoạt động trong đó cho phép cấy ghép Implant được cấp bởi Sở Y Tế
(2) Bác sĩ thực hiện phải có chứng chỉ cấy ghép Implant, được đào tạo chuyên sâu, có kinh nghiệm về cấy ghép Implant Nha khoa.
(3) Không thể thiếu các trang thiết bị hiện đại: máy chụp phim CT, hệ thống xét nghiệm máu, máy cắm Implant tích hợp phần mềm hỗ trợ, hệ thống ghế nha khoa hiện đại, xử lý vô trùng khép kín…
(4) Quy trình thực hiện dịch vụ cấy ghép Implant được chuẩn hóa theo một số khuyến nghị của FDI, ADA, ICOI, ITI…
(5) Nha khoa sử dụng những loại Implant và răng sứ có tiêu chuẩn lưu hành quốc tế, công bố nguồn gốc xuất xứ rõ ràng. Và yêu cầu phải “BẢO HÀNH TRỌN ĐỜI”.
Vì vậy, khi quyết định trồng răng Implant, khách hàng nên ưu tiên chọn một nha khoa có hội tụ đủ năng lực thực hiện một cách hiệu quả cao.
Xem thêm:
– Bảng Giá cấy ghép Implant tại Peace Dentistry
– Thạc sĩ – Bác sĩ Thân Trọng Nguyên – chuyên gia cấy ghép Implant tại Peace Dentistry
"Hình ảnh đã được sự đồng ý của khách hàng"
(Trồng 1 trụ implant khôi phục 1 răng hàm bằng implant tekka và răng sứ Zirconia (**))
(Cấy 1 trụ implant Straumann SLA Active và răng sứ Titan (Phục hình tức thì) (**))
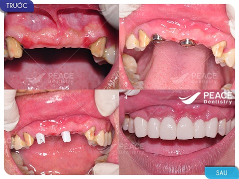
(Trồng 2 trụ implant Neodent và răng sứ Zirconia khôi phục 2 răng cửa (Phục hình tức thì) (**))
(Trồng implant khôi phục 1 răng cửa bằng implant Dentium (USA) (**))
(Để lại thông tin và vấn đề về răng của bạn, Nha khoa sẽ gọi lại tư vấn ngay)